右上第二小臼歯、第一大臼歯の虫歯をCERECでセラミック修復した例
んにちは、都筑ふれあいの丘駅前みつい歯科クリニック院長の三井です。
本日は右上第二小臼歯及び第一大臼歯の虫歯に対しCERECでセラミック修復を行った例をご紹介させていただきます。
都筑区にお住いの30代の男性の患者さんでした。
第二小臼歯と第一大臼歯の間を拡大した状態です。一見虫歯は無いように見えます。
しかし歯と歯の間から虫歯が進行しています。少し削ると虫歯が見えてきました。
- 第二小臼歯と第一大臼歯の間・拡大
- 虫歯除去中
現在装着されている金属を除去し、金属の下の虫歯も除去しました。
自覚症状のない虫歯だったのですが、虫歯の除去が完了すると歯質の削除量が多くなってしまっています。
次に虫歯になってしまうと歯の中の神経を取らなくてはならない可能性が高い状態です。
患者さんと相談し、二次カリエスになりにくいセラミック修復を行うことにしました。

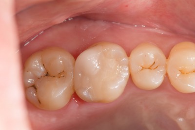
CERECで製作したセラミック修復物を装着した状態です。

歯の神経をとってしまうと歯が折れてしまう可能性が高くなります。
歯質は削ると再生しないので、同じ歯を何回も治療するとそれだけ歯の中の神経に近いところまで削ることになり、
神経を取らなければならない可能性が高くなります。
セラミック修復は歯質と科学的に接着するため、従来の金属を合着する治療よりも虫歯が再発する可能性を低く抑える事ができます。
小臼歯の虫歯治療を治療手順に沿って(保険診療)
こんにちは、都筑ふれあいの丘駅前みつい歯科クリニック院長の三井です。
本日は小臼歯の虫歯治療を治療手順を追ってご紹介させていただきます。
一見どこが虫歯になっているかわかりにくいですが、歯と歯の間が虫歯になっています。少し削ると虫歯が見えてきました。
- 治療前
- う蝕除去中
虫歯を染めるう蝕検知液というもので虫歯を染めて、染まっている部分を削っていきます。
- 検知液による染め出し
- 染め出されたう蝕
染めては削り染めては削りを慎重に繰り返し、取残しの無いよう虫歯を除去していきます。
一見どこにあるかわからない虫歯でもしっかり患部を除去すると、削除量が多くなることもあります。
しっかり虫歯を除去したら、過不足なくコンポジットレジン(CR)を充填します。
- う蝕除去時
- CR充填時
他の虫歯も同様にCRで修復しました。
- 他部位、う蝕除去時
- 他部位、CR充填時
染め出し・う蝕除去・CR充填と言葉で書くと短いですが、患者さんお一人お一人で歯の形、色、かみ合わせ、虫歯の大きさ等、様々に条件は異なります。
よくある処置だからといってルーチンワークとなることはありません。お一人お一人の治療をしっかりと行ってまいります。
左上第一大臼歯にCERECでセラミック即日修復を行った症例
こんにちは、都筑ふれあいの丘駅前みつい歯科クリニック院長の三井です。
本日は左上第一大臼歯にセラミック即日修復を行った例をご紹介させていただきます。
当院来院時の左上第一大臼歯です。セラミック修復が行われていますが、一部破損してしまっています。

お仕事が大変忙しい方で、複数回の来院が難しいとのことでしたので、患者さんと相談しCERECによるセラミック修復を即日で行うことにしました。
現在装着されているセラミック修復物を除去し、コンポジットレジンでビルドアップした後、形成、印象、修復物の製作、装着を即日で行いました。
写真は製作した修復物を装着した状態です。

治療前・後の比較です。
Before

After

CERECは院内でセラミックのブロックから修復物を削り出すため、質の高い修復物を早く装着することができます。
スピードとクォリティーを兼ね備えたセラミック即日修復はCERECならではのものと言えます。
右下第一大臼歯に対しCERECでセラミック修復を行った例
こんにちは、都筑ふれあいの丘駅前みつい歯科クリニック院長の三井です。
本日は右下第一大臼歯にCERCでセラミック修復を行った例をご紹介させて頂きます。
都筑区にお住いの40代の女性の患者さんでした。
右下第一大臼歯にメタルインレーが装着されています。第一大臼歯の頬側歯面に形態不良が見られます。
現在の状態は食渣の停滞やプラークの付着が起こりやすい状態になってしまっています。
患者さんと相談した結果、汚れが付きにくく、経年的な劣化も起こしにくいセラミックで修復することになりました。
- 術前
- 術前
メタルインレーを除去し、インレー下のカリエスを除去した後CERECでセラミック修復を行うために形態修正を行いました。
写真はCERECで製作したセラミック修復物を装着した状態です。
- CEREC装着時
- CEREC装着時
術前・術後の比較です。
Before

After

Before

After

CERECで製作したセラミック修復物は美しいだけではなく、硬さ・しなやかさ共に天然歯に近く、
噛み心地や舌触りなどの質感も天然歯に近い自然な感触です。
横浜市都築区 都筑ふれあいの丘駅前の歯科医院 みつい歯科クリニック
045-482-4346
ホームホワイトニングによる審美性の改善。(経時的な変化を写真で確認)
こんにちは、都筑ふれあいの丘駅前みつい歯科クリニック院長の三井です。
本日はホワイトニングをさせていただいた方の経過をご紹介させていただきます。
(https://www.mitsuishika.com/case/post-24/でご紹介させていただいた患者さんと同じ方です。)
ホワイトニング開始前のお口の中です。全体的に歯の色が暗く感じます。
患者さんも気にしておられ、相談の結果ホワイトニングを行うことになりました。
ホームホワイトニングのトレーを製作し、就寝中に薬剤を入れて装着していただきました。
ホワイトニング開始一週間後、三週間後の状態です。
- ホワイトニング開始前
- ホワイトニング開始一週間後
- ホワイトニング開始三週間後
ホワイトニングで歯の色の改善を行い、ホワイトニング後に右上中切歯、側切歯の形態改善のために
メタルボンドクラウンで補綴処置(冠をかぶせる処置)を行いました。
患者さんは満足しておられました。
ホワイトニング開始前

ホワイトニング後、メタルボンドクラウン装着時

当院ではオフィスホワイトニング、ホームホワイトニング、両者を併用する
デュアルホワイトニングを行っています。ご相談はお気軽に。





























