着色・歯石の除去(歯のクリーニング) ビフォー・アフター(保険診療)
こんにちは、都筑ふれあいの丘駅前、みつい歯科クリニック院長の三井です。
今回は歯石と着色の除去(歯のクリーニング)の処置前・処置後の比較をご覧下さい。
患者さんは都筑区在住の60代の女性の方でした。
もう15年くらい歯科を受診されていないそうです。
ご主人が当院にかかられておりご主人のすすめで当院を受診されました。
口腔内を拝見すると、歯石の沈着と着色が認められます。
- 上顎前歯部 処置前
- 下顎前歯部 処置前
処置後の写真です。
- 上顎前歯部 処置後
- 下顎前歯部 処置後
処置前・処置後の比較です。
上顎前歯部 処置前

上顎前歯部 処置後

下顎前歯部 処置前

下顎前歯部 処置後

お口の中がさっぱりして、歯がつるつるして気持いいいと喜んでいただけました。
今回ご覧いただいた内容はすべて健康保険の範囲内で行っています。
横浜市都筑区 都筑ふれあいの丘駅前の歯科医院 みつい歯科クリニック
045-482-4346
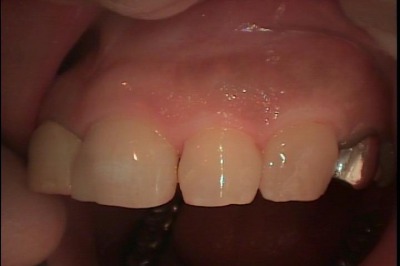
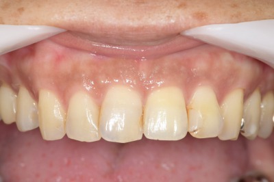
前歯部CR(コンポジットレジン)ビフォー・アフター(保険診療)
こんにちは、都筑ふれあいの丘駅前、みつい歯科クリニック院長の三井です。
今回は前歯の虫歯をCR(コンポジットレジン:光で硬化する樹脂の歯科材料)で修復した例をご覧下さい。
患者さんは都筑区在住の30代の男性の方でした。
翌月にご本人の結婚式があるのでそれまでに前歯をきれいにしたいと来院されました。
前歯が一部欠けており、また、虫歯で変色している部分も確認できます。
生活歯(神経をとっていない歯)であり、
虫歯も神経を取らなければいけないほど大きいわけではないので、
CR(コンポジットレジン)で修復することにしました。
CR処置前

CR処置後

CRで修復処置を行い審美性の回復を得られたように思います。
今回ご覧いただいた内容はすべて健康保険の範囲内で行っています。
横浜市都筑区 都筑ふれあいの丘駅前の歯科医院 みつい歯科クリニック
サイナストラクト(フィステル・膿の排出口) のできていた下顎大臼歯に根管治療を行い、CERECでセラミック修復を行った例(一部保険診療)
こんにちは、都筑ふれあいの丘駅前みつい歯科クリニック院長の三井です。
今回は左下第一大臼歯の感染根管処置を行い、その後CERECでセラミック修復を行った例をご紹介致します。
都筑区にお住いの40代の女性の患者さんで、左下の歯茎が腫れたという主訴で来院されました。
肉眼では左下第一大臼歯頬側の歯肉が腫脹している事が確認できます。
レントゲン写真では第一大臼歯の根の先に黒い透過像が確認できます。
過去に処置を受けた虫歯が深く、歯の中の神経が死んでしまい、
根の先に膿がたまっていると思われます。
また、歯茎の腫れは根の先にたまった膿の出口(サイナストラクト)ができているために腫れていると思われます。
- 初診時 口腔内写真
- 初診時 レントゲン写真
歯の中の死んでしまった神経をとり、根のなかの処置を行いました(感染根管処置)。
根管処置で根のなかがきれいになった後に、根管充填を行い、その後CERECでセラミック修復を行いました。
緊密に根管充填できているように見えます。
また口腔内写真では頬側の歯茎の腫れが消失しているように見えます。
- 根管充填後 レントゲン写真
- セラミック修復後 口腔内写真
根管処置前後の比較です。根の先の黒い透過像も縮小してきているように見えます。
- 初診時 レントゲン写真
- 根管充填時 レントゲン写真
セラミック修復直後と約一年後の口腔内写真の比較です。
頬側の歯茎の腫れの再発もなくセラミック修復物にも特に変化は見られません。
- セラミック修復 直後
- セラミック修復 約一年後
サイナストラクトも再発せず、良好な予後が送れていると思われます。
今回ご覧いただいた中で根の中の処置は健康保険の範囲内で行っています。
右下奥歯の深い虫歯の治療例(神経を残せた歯と神経を取らなければならなかった歯・一部保険診療)
こんにちは、都筑ふれあいの丘駅前みつい歯科クリニック院長の三井です。
今回は右下の奥歯の深い虫歯の治療を行った例をご覧頂きたいと思います。
右下奥歯の痛みを主訴に来院されました。
肉眼では右下第一大臼歯、第二大臼歯ともにカリエス(虫歯)になっている様に見えます。
レントゲン写真では第一大臼歯の虫歯がかなり大きいことがわかります。
- 初診時 口腔内写真
- 初診時 レントゲン写真
第一大臼歯は来院時に既に自発痛(ズキズキした痛み)がでていたため、
神経の保存は不可能と判断し、抜髄処置(神経をとる処置)を行いました。
根の中の処置を終え、根管充填を行いました。
根の先まで緊密に充填できているように見えます。
- 第一大臼歯 初診時レントゲン写真
- 第一大臼歯 根管充填時レントゲン写真
第二大臼歯のカリエスも大きく、カリエス除去中に露髄(歯の中の神経が露出する事)しました。
しかし、第一大臼歯の処置後、自発痛は治まっていたため、セラカルLCを塗布して神経の保存を試みました。
- 初診時 口腔内写真
- セラカル塗布時 口腔内写真
第二大臼歯の痛みが出ていないことを確認し、
CERECでセラミック修復を行いました。術前術後の比較です。
初診時 口腔内写真

セラミック修復物装着時

第一大臼歯は残念ながら神経を残すことはできませんでした。
神経を取らざるを得ない場合は、根の先までしっかりと清掃し、
緊密に充填することが重要と考えています。
また、第一大臼歯、第二大臼歯ともに漏洩の少ないセラミック修復を行うことで、良好な予後が期待できます。
今回ご覧いただいた中で根の中の処置は健康保険の範囲内で行っています。
変色した前歯部の感染根管処置とCR充填を行った例(保険診療)
こんにちは、都筑ふれあいの丘駅前、みつい歯科クリニック院長の三井です。
今回は神経が無く、変色してしまった上顎前歯の感染根管処置とホワイトニング、
CR充填を充填を行った症例をご覧いただきたいと思います。
左上の中切歯と側切歯が変色してしまっています。
レントゲン写真からは不十分な根管治療がなされているように見えます。
- 術前
- 感染根管処置前
感染根管処置を行い、根管充填を行いました。
術前と比較して根の先(根尖)まで緊密に根管充填が行われていることが確認できます。
- 感染根管処置前
- 感染根管処置後
感染根管処置を行った後、変色を改善するためにホワイトニングを行いました
(ウォーキングブリーチ:保険外診療)ホワイトニングの前後で色調の改善が確認できます。
- ホワイトニング前
- ホワイトニング後
ホワイトニング後、感染根管処置を行うために口蓋側(裏側)に
あけた穴のCR充填とと過去のCR充填のやり直しを行いました。
- ホワイトニング後
- CR充填後
患者さんは感染根管処置前に感じていた違和感も消失し、
気になっていた色調の改善も得られたため、とても満足されていました。





































