オフィスホワイトニング ビフォー・アフター
こんにちは。都筑ふれあいの丘駅前、みつい歯科クリニック院長の三井です。
今回はオフィスホワイトニングの施術前・施術後を比較してご覧ください。
患者さんは都筑区にお住いの20代の女性の方でした。歯を白くしたいと来院されました。
クリーニングとホワイトニングの違いや、ホワイトニングの種類等を含めてご相談をさせていただき、
オフィスホワイトニングを行うことになりました。
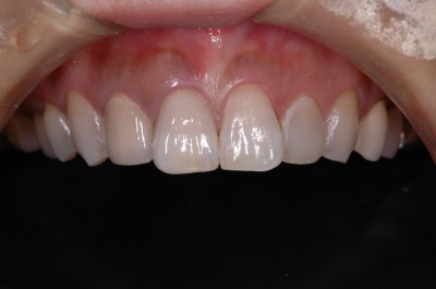
施術前の口腔内写真です。
- ホワイトニング施術前
ホワイトニング施術後の口腔内写真です。
- ホワイトニング施術後
比較しやすいようにホワイトニング施術前・施術後の写真を合成してみました。
左側がホワイトニング施術前、右側がホワイトニング施術後です。歯の色が変化していることがよくわかります。
オフィスホワイトニングの所要時間は約90分で、費用は15,000円(税別)となります。
また、オフィスホワイトニングの他にも、マウスピースを作製し、マウスピースに薬剤を注入してご自宅で行うホーム
ホワイトニング、オフィスホワイトニングとホームホワイトニングを
併用するデュアルホワイトニングもお選びいただけます。
ご質問、ご相談はお気軽に。
横浜市都筑区 都築ふれあいの丘駅前の歯科医院 みつい歯科クリニック
045-482-4346
オフィスホワイトニング ビフォー・アフター
こんにちは、都筑ふれあいの丘駅前、みつい歯科クリニック院長の三井です。
今回はオフィスホワイトニングの術前術後を比較してご覧下さい。
都筑区にお住いの40代の男性の方です。ホワイトニングを受けたいと来院されました。
ホームホワイトニング用のマウスピースと薬剤はお持ちとのことなので、今回はオフィスホワイトニングのみを行いました。
- ホワイトニング施術前
歯の表面のクリーニングを行った後、オフィスホワイトニングを行いました。
- オフィスホワイトニング施術後
施術前・施術後の比較です。歯の色が明るく、白くなっていることがわかります。
- オフィスホワイトニング施術前
- オフィスホワイトニング施術後
わかりやすいよいうに施術前・施術後の写真を合成してみました。
左がホームホワイトニング施術前、右がホワイトニング施術後になります。
ホワイトニングにはオフィスホワイトニングとホームホワイトニングがあります。
院内で施術するオフィスホワイトニングは(上下顎計16〜20歯、約90分)¥15,000(税別)
ご自宅でマウスピースに薬剤を注入して装着していただくホームホワイトニングは(上下顎マウスピース+薬剤4本)¥30,000(税別)
オフィスホワイトニングとホームホワイトニングの両方を併用するデュアルホワイトニングは
(オフィスホワイトニング+ホームホワイトニング)¥45,000 ですが、¥10,000ディスカウントして¥35,000(税別)
となります。
またホームホワイトニング用の薬剤のみの販売も行っております。
価格は一本¥3,500(税別)、二本で¥6,000(税別)となります。
本日12月28日でみつい歯科クリニックの2017年の診療は終了とな
ります。今年も本当に沢山の患者さんにご来院いただき、ありがとうございました。
来年も皆様のお役に立てるように努力してまいります。
どうぞよろしくお願い致します。
ホワイトニング ビフォー・アフター
こんにちは、都筑ふれあいの丘駅前、みつい歯科クリニック院長の三井です。
今回はホワイトニングの施術前・後の比較をご覧いただきたいと思います。
ホワイトニングを希望された患者さんは港北区にお住いの50代の女性の方でした。
ホワイトニングにはいくつか種類があるのですが、患者さんと相談した結果、
今回はオフィスホワイトニングとホームホワイトニングを併用するデュアルホワイトニングを行うことになりました。
(ホワイトニングの種類・説明はこちら:https://www.mitsuishika.com/esthe.html)
ホワイトニング 施術前

ホワイトニング 施術後

ホワイトニング施術前と施術後の写真を合成してみました。
真ん中の黒い線の左がホワイトニング施術前、右がホワイトニング施術後です。
歯が白く明るくなっていることがわかります。

ホームホワイトニング用マウスピース
オフィスホワイトニングとホームホワイトニングを併用するデュアルホワイトニングなので、
今後ホームホワイトニングで白さの維持を行ってゆきます。
- ホワイトニング用マウスピース
- ホワイトニング用マウスピース
ホワイトニングの費用は
オフィスホワイトニング(上下顎計16〜20歯、約90分):¥15,000
ホームホワイトニング(上下顎マウスピース+薬剤4本):¥30,000
デュアルホワイトニング(オフィスホワイトニング+ホームホワイトニング):¥45,000 ですが、¥10,000ディスカウントして¥35,000
となります。
お問い合わせ、ご相談はお気軽に。
横浜市都筑区 都筑ふれあいの丘駅前の歯科医院 みつい歯科クリニック
オフィスホワイトニング ビフォー・アフター
こんにちは、都筑ふれあいの丘駅前みつい歯科クリニック院長の三井です。
本日はオフィスホワイトニングの施術前・施術後の比較をご覧いただきたいと思います。
(ホワイトニングの種類・説明はこちら:https://www.mitsuishika.com/esthe.html)
オフィスホワイトニング開始前

オフィスホワイトニング終了時

術前・術後で歯が明るくなっていることがよくわかります。
施術本数及び所要時間は上下顎16~20本で約60分~90分程度です。
当院ではオフィスホワイトニングのほかホームホワイトニング、
デュアルホワイトニング(オフィスホワイトニング+ホームホワイトニング)も行っております。
ご質問・お問い合わせはお気軽にどうぞ。
横浜市都筑区 都筑ふれあいの丘駅前の歯科医院 みつい歯科クリニック
045-482-4346
ホームホワイトニングによる審美性の改善。(経時的な変化を写真で確認)
こんにちは、都筑ふれあいの丘駅前みつい歯科クリニック院長の三井です。
本日はホワイトニングをさせていただいた方の経過をご紹介させていただきます。
(https://www.mitsuishika.com/case/post-24/でご紹介させていただいた患者さんと同じ方です。)
ホワイトニング開始前のお口の中です。全体的に歯の色が暗く感じます。
患者さんも気にしておられ、相談の結果ホワイトニングを行うことになりました。
ホームホワイトニングのトレーを製作し、就寝中に薬剤を入れて装着していただきました。
ホワイトニング開始一週間後、三週間後の状態です。
- ホワイトニング開始前
- ホワイトニング開始一週間後
- ホワイトニング開始三週間後
ホワイトニングで歯の色の改善を行い、ホワイトニング後に右上中切歯、側切歯の形態改善のために
メタルボンドクラウンで補綴処置(冠をかぶせる処置)を行いました。
患者さんは満足しておられました。
ホワイトニング開始前

ホワイトニング後、メタルボンドクラウン装着時

当院ではオフィスホワイトニング、ホームホワイトニング、両者を併用する
デュアルホワイトニングを行っています。ご相談はお気軽に。

























