下顎前歯部に行った感染根管処置とその経過及び治癒(保険診療)
こんにちは、都筑ふれあいの丘駅前みつい歯科クリニック院長の三井です。
今回は根尖に病巣のある下顎前歯に対し感染根管処置を行った例と、
処置後約半年の経過・治癒像をご覧頂きたいと思います。
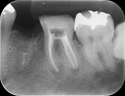
下顎前歯の痛みと歯茎の腫れを主訴に来院されたました。
レントゲン写真で確認すると根尖にレントゲン透過像が確認できます(右写真の赤色の丸の部分です)。
- 初診時
- 初診時
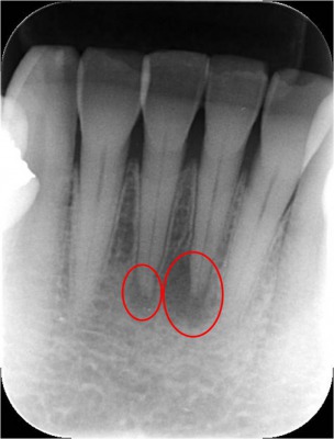
感染根管処置を行い、根管充填を行いました。根尖まで緊密に充填されているように見えますが、
根尖の病巣はまだ残っています(右写真の黄色の丸の部分です)。
根管内の清掃がしっかり行われていること、痛み等の症状が無いこと、
緊密に根管充填がされていることから、根尖病巣は次第に消失すると考えCR充填を行い終了しました。
- 根管充填時
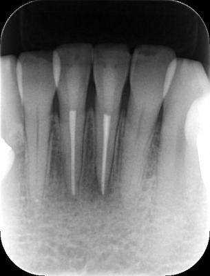
- 処置後約半年
- 処置後約半年
処置前と処置後約半年の比較です。
根尖病巣が治癒していることがよくわかります。
処置前

処置後約半年

予想どうりの良好な結果を得ることができました。
今回ご覧いただいた処置内容は健康保険の範囲内で行っています。
急性症状が出ていた第一大臼歯の感染根管処置を行った例(保険診療)
こんにちは、都筑ふれあいの丘駅前みつい歯科クリニック院長の三井です。
本日は急性症状が出て強く痛んでいた第一大臼歯の感染根管処置を行った例をご紹介させていただきます。
都筑区にお住いの60代の男性の患者さんでした。
過去に他院で治療を行った歯が痛いと来院されました。「数日前から違和感があった。
治まると思って我慢していたが、痛みが強くなって我慢できなくなった」とのことでした。
初診時のレントゲン写真では左下第一大臼歯、近心根根尖にレントゲン透過像が確認できます。
また、遠心根は根尖に透過像は認められませんが、適切な処置が施されているようには見えません。
クラウンを除去すると内部は唾液の漏洩を疑わせる状態です。
メタルコアを除去し、感染部位とガッタパーチャを除去すると根尖から排膿が見られました
- 初診時レントゲン写真
- クラウン除去時 口腔内写真
- メタルコア除去時 口腔内写真
- 排膿時 口腔内写真
薬を服用していただき、急性症状が治まった後、感染根管処置・根管充填を行いました。
根管充填時のレントゲン写真です。根尖まで緊密に充填されていることがわかります。
その後、補綴処置を行った後、第二小臼歯の感染根管処置・根管充填・補綴処置も行いました。
第二小臼歯の根管充填時のレントゲン写真です。
- 根管充填時レントゲン写真
- 第二小臼歯根管充填時レントゲン写真
術前・術後のレントゲン写真の比較です。第一大臼歯の近心根根尖の透過像はまだ消失していませんが、痛み・違和感等の症状は消失しています。
術前レントゲン写真

術後レントゲン写真

治療前の痛みが強かったため、患者さんは抜歯をしなければいけないと思われていたようで、
歯を保存することができ、以前と同じように咬めるようになった事を大変喜ばれていました。
今回ご覧いただいた処置内容は全て健康保険の範囲内で行っています。
横浜市都筑区 都筑ふれあいの丘駅前の歯科医院 みつい歯科クリニック
045-482-4346
感染根管治療の術前・術後の比較を複数例(保険診療)
こんにちは、都筑ふれあいの丘駅前みつい歯科クリニック院長の三井です。
本日は感染根管処置(根の中の治療)の術前・術後の比較を、レントゲン写真でご覧いただきたいと思います。
術前

術後

術前

術後

術前

術後

術前

術後

感染根管処置では、可能な限り根管内の感染を取り除き、緊密に根管充填を行うことが重要であると考えています。
今回ご覧いただいた処置内容は全て健康保険の範囲内で行っています。
横浜市都筑区 都筑ふれあいの丘駅前の歯科医院 みつい歯科クリニック
045-482-4346
感染根管処置を行いCERECでセラミック修復を行った症例(一部保険診療)
こんにちは都筑ふれあいの丘駅前のみつい歯科クリニック院長の三井です。
今回は根管治療(根の中の治療:根管治療について詳しくはこちら:https://www.mitsuishika.com/endo.html)を行った後
CEREC(CERECについては詳しくはこちら:https://www.mitsuishika.com/cerec.html)でセラミック修復を行った症例をご紹介いたします。
都筑区にお住いの40代の女性の患者さんでした。口腔内所見としては歯茎にサイナストラクト(膿の排出口)が形成されており、
ガッタパーチャポイントを用いて造影したところ、右下第一小臼歯の根先に病巣が存在し、
サイナストラクトは第一小臼歯根尖の病巣に由来するものだと診断しました。
感染根管処置を行い、根管内の感染が除去できたと判断したため、根管充填を行いました。
【根管治療終了時】
根管充填後、ファイバーコアで支台築造を行い、CERECで製作したセラミッククラウンを装着しました。
術後約九ヶ月のレントゲン写真では根尖の透過像が改善している事が確認できます。
【経過観察時】 【セラミッククラウン装着時】
治療前、治療後の比較です。第一小臼歯根尖のレントゲン透過像が消失していることが確認できます。
【治療前】 【治療後】
根の中の処置(感染根管処置)は健康保険の範囲内で行っています。
横浜市都筑区 都筑ふれあいの丘駅前の歯科医院 みつい歯科クリニック


























